Skip to Main Content
SickKids
Old bones can regain youthful healing power, study finds
3 minute read

Old bones can regain youthful healing power, study finds

Summary:

Broken bones in older people are notoriously slow to heal, but researchers at SickKids and Duke University School of Medicine may have identified a way to help them heal faster and better.

TORONTO – Broken bones in older people are notoriously slow to heal, but researchers at The Hospital for Sick Children (SickKids) and Duke University School of Medicine (Duke Medicine) may have identified a way to help them heal faster and better. The study, published in the May 19 edition of the journal Nature Communications, found that there are certain factors in blood cells that influence how bones heal.

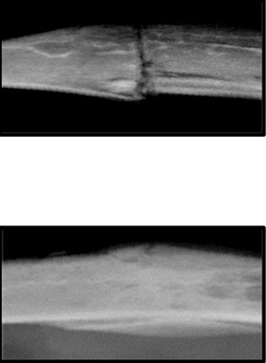
Two bone xrays. Top xray shows an old bone with more texture, indicating deposits of weak fibrotic tissue. bottom image shows a young bone with much less texture.
Top slide illustrates an older bone, where fracture repair is slower and can lead to deposits of weak fibrotic tissue. Bottom slide shows rejuvenated fracture repair from exposure to a youthful circulation; the rate and amount of bone tissue deposited is enhanced.

“We proved that young blood cells actually have the capacity to rejuvenate bone repair in older bones,” says Dr. Benjamin Alman, senior author of the study, Adjunct Scientist in Developmental & Stem Cell Biology at SickKids, and Chair of the Department of Orthopaedic Surgery at Duke Medicine. “It’s not that bone cells, or osteoblasts, can’t heal as efficiently as we age, it’s that the other cells may be providing the wrong signals to those cells, causing reduced healing.”

The research team not only traced what signals go wrong when older bones don’t heal properly, but also successfully manipulated the process in mouse models by both circulating blood and transplanting bone marrow from a young mouse into an older mouse. This prompted the older mouse’s bones to heal faster and better, more like the bones in the younger mouse.

The findings build on earlier research by this team and others, which identified an important role for a protein called beta-catenin in the rejuvenation and repair process. The protein requires precise modulation for successful bone-fracture repair. In older people, beta-catenin levels are elevated during the early phases of bone repair, leading to the production of tissue that is more like scar tissue than bone. The presence of this tissue can disrupt bone healing.   

In the new study, the researchers found that they could manipulate beta-catenin levels by exposing older mice to the blood circulation of younger mice, essentially correcting the intricate formula necessary for the healthy bone repair observed in younger mice.

The researchers replicated the findings using bone marrow cell transplantation from young to old mice, again demonstrating that young blood cells are able to recalibrate the beta-catenin signalling during early fracture repair, restoring healthy bone-healing in old mice.

“This is exciting because it suggests that drug therapies may be able to decrease beta-catenin levels or control the inflammatory process to improve fracture repair, both in older adults and perhaps in people who have received bone implants,” says Dr. Gurpreet Baht, lead author of the study and Research Fellow in Developmental & Stem Cell Biology at SickKids. “The next steps are to figure out what cells and/or proteins in the blood are making beta-catenin go up in older adults, so that we can target that cause, and explore drugs that can be used in patients to safely and effectively change beta-catenin levels.”

The study received funding from the Canadian Institutes of Health Research and from Duke. The work was done at SickKids and Duke Medicine.

Back to Top